Сурталчилгаа

Хамгийн чухал мэдээг цаг тухайд нь авч байгаарай

Бүртгүүлэх товчийг дарснаар та манай Нууцлалын бодлого, ашиглалтын нөхцлийг уншиж, зөвшөөрч буйгаа баталж байна.
TELEGRAM

Эрдэмтэд 1.6 сая тархины зургийг ашиглан зөнөх эрсдэлийг тооцох технологи бүтээнэ

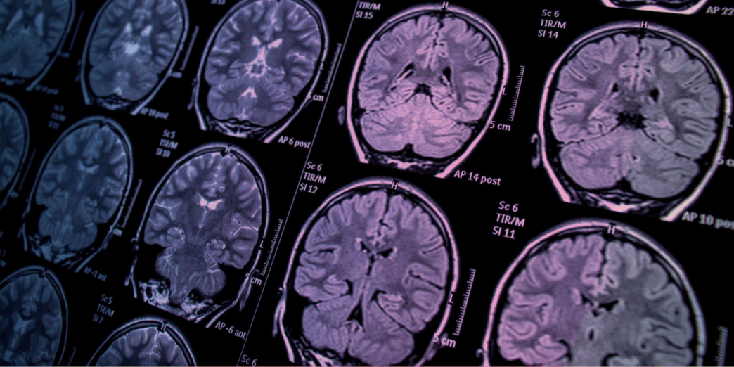
Эрдэмтэд хиймэл оюун ухааны тусламжтай 1.6 сая гаруй тархины зурагт дүн шинжилгээ хийж зөнөх өвчин тусах эрсдэлийг тооцох технологи бүтээх болжээ.

Эдинбургийн их сургууль болон Дүндийн их сургуулийн судлаачид “NEURii” нэртэй олон улсын судалгааны ажлын хүрээнд 10 гаруй жилийн турш Шотландад хийгдсэн CT болон MRI шинжилгээний зургийг судлах юм.

Тэд хиймэл оюун ухаан ашиглан шинжилгээний зургийг өвчтөнүүдийн эрүүл мэндийн түүхтэй харьцуулж, зөнөх өвчний эрсдэлийг илүү сайн тодорхойлох зүй тогтол хайна.

Сурталчилгаа

Дэлхий даяар зөнөх өвчинтэй хүмүүсийн тоо 2050 он гэхэд гурав дахин нэмэгдэж 153 саяд хүрэх төлөвтэй байгаа юм. Мөн зөнөх өвчинтэй холбоотой эрүүл мэнд, нийгмийн зардал дэлхий даяар жилдээ 1 их наяд ам.доллар давдаг гэж тооцоо бий.

Ийм учраас эрдэмтэд дүрс оношилгооны эмч нарт өвчтөнүүдийг үзэхдээ зөнөх өвчний эрсдэл хэр өндөр байгааг тодорхойлох, өвчнийг эрт оношлох, зөнөхтэй холбоотой өвчнүүдийг оношлоход туслах хэрэгсэл бүтээхийг зорьж байгаа юм.

Дүндийн их сургууль дахь хиймэл оюун ухаан, эмнэлгийн дүрс оношлохуйн мэргэжилтэн, профессор Эмануэль Трукко “Энэ судалгаанаас гарах шинэ баримт мэдээлэл нь мэдрэл судлаачдад их хэрэг болно” хэмээжээ.

Хамгийн чухал мэдээг цаг тухайд нь авч байгаарай

Бүртгүүлэх товчийг дарснаар та манай Нууцлалын бодлого, ашиглалтын нөхцлийг уншиж, зөвшөөрч буйгаа баталж байна.
Сурталчилгаа